Ateş, kuru öksürük, yorgunluk, boğaz ağrısı, ishal, tat alma ve koku alma kaybı ve baş ağrısı gibi semptomların olduğu corona virüsünde yeni bir semptom daha çıktığı öne sürüldü.
Tıp dünyasının önde gelen dergilerinden The American Journal of Emergency Medicine’de yayınlanan akademik makalede koronavirüsün yeni bir semptomunun öne çıkmış olabileceği kaydedildi.
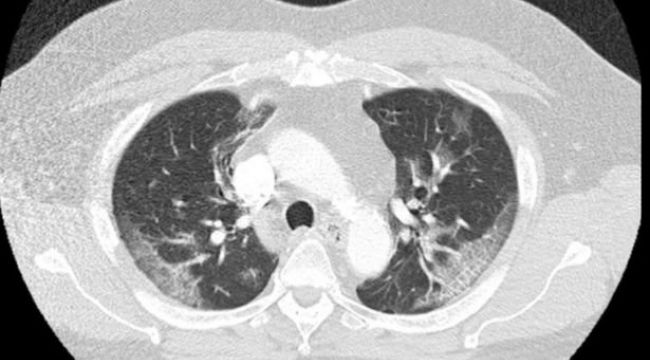
Makalede, 62 yaşındaki Chicagolu bir adamın dört gün boyunca hıçkırdığı ve bunun aralıksız devam ettiği kaydedilirken, “Hiç semptom göstermiyordu ve ateşi ölçüldüğünde de 37.3 derece ateşi vardı. Fakat hastaneye kaldırılıp testler derinleşince durum ortaya çıktı. koronavirüs testi pozitif çıktı ve ciğerlerinin kapasitesinin de düştüğü görüldü. Adamın ateşi de daha sonra 38.4’e çıktı” ifadesi kullanıldı.
Yaşananları dergiye aktaran Chicago’daki Cook County Hastanesi’ndeki doktorlar, “Günlerce geçmeyen hıçkırığı olan hastaları gözardı etmemek gerek. Doktorlar, covid-19 hastalarında farklı semptomlara bakmalı çünkü birçok vaka semptom göstermeden ortaya çıkıyor” dedi.
Tıp dünyasının önde gelen dergilerinden The American Journal of Emergency Medicine’de yayınlanan akademik makalede koronavirüsün yeni bir semptomunun öne çıkmış olabileceği kaydedildi.
Makalede, 62 yaşındaki Chicagolu bir adamın dört gün boyunca hıçkırdığı ve bunun aralıksız devam ettiği kaydedilirken, “Hiç semptom göstermiyordu ve ateşi ölçüldüğünde de 37.3 derece ateşi vardı. Fakat hastaneye kaldırılıp testler derinleşince durum ortaya çıktı. koronavirüs testi pozitif çıktı ve ciğerlerinin kapasitesinin de düştüğü görüldü. Adamın ateşi de daha sonra 38.4’e çıktı” ifadesi kullanıldı.
Yaşananları dergiye aktaran Chicago’daki Cook County Hastanesi’ndeki doktorlar, “Günlerce geçmeyen hıçkırığı olan hastaları gözardı etmemek gerek. Doktorlar, covid-19 hastalarında farklı semptomlara bakmalı çünkü birçok vaka semptom göstermeden ortaya çıkıyor” dedi.

















